VESTI

PREVENCIJA ZA BOLJU I ZDRAVIJU 2023.
U dijagnostičkom centru “Merkur”, naša misija je edukacija javnosti o značaju preventivne dijagnostike u lečenju najtežih bolesti

MR mozga i krvnih sudova mozga
Magnetna rezonanca mozga i krvnih sudova mozga je bezbedan i neinvazivan pregled koji daje vrlo jasne slike struktura unutar vaše glave, uglavnom vašeg mozga i krvnih sudova mozga.

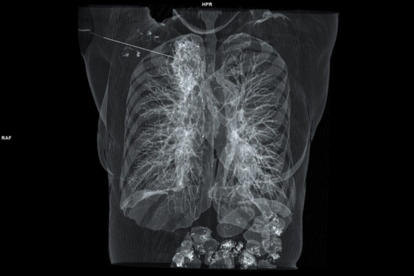
Skrining karcinoma pluća
Karcinom pluća je najsmrtonosniji karcinom na svetu i kod nas. U našoj zemlji godišnje umre gotovo 7000 osoba od karcinoma pluća, što čini 25% smrtnosti svih karcinoma.